Gummy smile
zuviel sichtbares Zahnfleisch
Gummy smile
Zuviel Zahnfleisch beim Lachen stört viele PatientInnen. Sie trauen sich nicht mehr lachen und kommen deswegen zur kieferorthopädischen Beratung.

Oberkiefer zu hoch
Zuviel Kieferlängswachstum
Hauptursache für zu viel sichtbares Zahnfleisch ist ein Zuviel an Kieferhöhenwachstum. Dies ist oftmals vererbt und kann, wie in diesem Fall nur MKG chirurgisch unterstützt in Kombination mit einer kieferorthopädischen Behandlung korrigiert werden.

Nach chirurgischer Korrektur
Durch einen kieferchirurgischen Eingriff kann man die Höhe des Oberkieferknoches reduzieren.
Ein entspannter Lippenschluss ist wieder möglich.

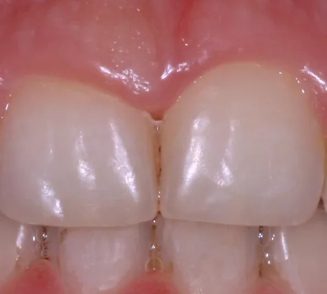
Zuviel Zahnfleisch
Zahnfleischschwellung
Auch bei Patienten mit hervorragender Mundhygiene kommt es zur angeborenen oder erworbenen Zahnfleischschwellung. Die individuelle Zahnform ist dadurch nicht sichtbar, sie wird durch ein Zuviel an Zahnfleisch verdeckt.

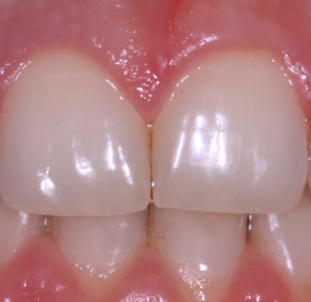
Gingivektomie
Gingivektomie
Eine Gingivektomie — Entfernung von überschüssigem Zahnfleisch kann hier Abhilfe schaffen.

Nach OP
Nach Abheilung der Gingivektomie 4 Tage post OP.
Zahnfleisch und Zähne
Eine Einheit