Kieferorthopädie für Kinder
Kieferorthopädie für Kinder
Zahnregulierung ist mit moderner Kieferorthopädie in jedem Alter möglich.
Kinder brauchen mehr Zeit als mancher Erwachsene.
Wir gehen im persönlichen Gespräch genau auf die Art und Dauer der Behandlung, auf präventive Maßnahmen und Nachbehandlungen ein.

Ab welchem Alter ist ein früher Behandlungsbeginn sinnvoll?
Als Beispiel für einen frühen Behandlungsbeginn wäre zum Beispiel die Behandlung eines schmalen Oberkiefers, eines Kreuzbisses oder die Behandlung eines inkompetenten Lippenschlusses zu nennen.

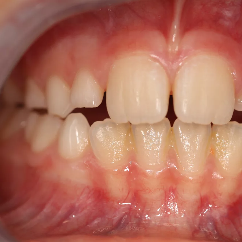
Zahnspange bei Kindern: Ästhetik
Die Entscheidung für eine Zahnspange bei Kindern wird häufig von ästhetischen Überlegungen begleitet. Schiefe Zähne oder sichtbare Lücken sind für Eltern und Kinder oft ein Anlass, frühzeitig über eine kieferorthopädische Behandlung nachzudenken. Aus medizinischer Sicht steht jedoch nicht das äußere Erscheinungsbild, sondern die Funktion im Vordergrund.
Eine Zahnspange ist dann medizinisch sinnvoll, wenn Fehlstellungen den Biss, die Kaufunktion oder die Entwicklung des Kiefers beeinträchtigen. Unbehandelte Fehlstellungen können langfristig zu Problemen beim Kauen, Sprechen oder zu einer erhöhten Abnutzung der Zähne führen. In solchen Fällen ist eine frühzeitige kieferorthopädische Abklärung wichtig, um den optimalen Behandlungszeitpunkt festzulegen.

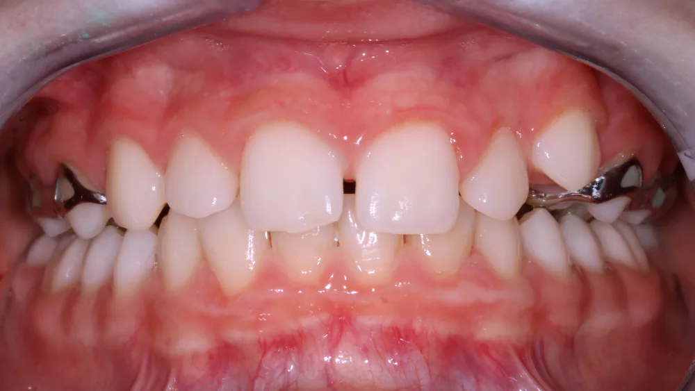
Zahnspange bei Kindern: medizinische Notwendigkeit
Nicht jede Zahnfehlstellung erfordert jedoch sofort eine Behandlung. In manchen Entwicklungsphasen können sich Zahn- und Kieferstellungen von selbst regulieren. Eine rein ästhetisch motivierte Zahnspange ohne medizinische Notwendigkeit sollte daher immer kritisch geprüft werden.
Eine fundierte kieferorthopädische Beratung hilft, medizinische Erfordernisse von ästhetischen Wünschen klar zu trennen. Ziel ist eine Behandlung, die die gesunde Entwicklung des Kiefers unterstützt und gleichzeitig unnötige Maßnahmen vermeidet.

Mundhygiene
Kinder sind feinmotorisch noch nicht in der Lage die Zähne korrekt und ohne Kontrolle durch der Eltern zu putzen.
Achten Sie auf das Schriftbild Ihres Kindes und Sie bekommen einen Eindruck über die feinmotorischen Qualitäten der kindlichen Entwicklung.
Ab dem 10. Lebensjahr sollte ein Kind in der Lage sein die Zähne ausreichend zu putzen.

Wachstum
Das Wachstum ist ein wichtiger Faktor in der Behandlungsplanung bei Kindern. Insbesonders kommt es auf die Wahl des richtigen Behandlungsbeginnes, die richtige Auswahl des Behandlungsgerätes und individuelle Faktoren an.

In welchem Alter ist eine erste Untersuchung beim Kieferorthopäden sinnvoll?
Während Zähne sich bis ins hohe Alter bewegen lassen, ist die Beeinflussung des Knochenwachstums von Ober- und Unterkiefer nur eine begrenzte Zeit möglich. Da viele Kinder Wachstumsprobleme haben, sollte die Notwendigkeit einer Therapie einmal spätestens zur Zeit des Schneidezahnwechsels – in der Regel im Alter von sieben bis acht Jahren – und ein weiteres Mal in der zweiten Phase des Zahnwechsels – mit zehn bis elf Jahren – von einem Kieferorthopäden überprüft werden.
Kosten
Wenn Sie Frage zu den Kosten einer Zahnspange haben, bitte hier klicken!
Individuelle Beratung für unsere Patientinnen und Patienten
Für unsere Patientinnen und Patienten nehmen wir uns Zeit – bereits vor Behandlungsbeginn. Rufen Sie uns an und stellen Sie uns Ihre Fragen!