Behandlungsfälle
häufige Behandlungen
Wie funktioniert eine kieferorthopädische Behandlung? Geht das auch mit meinen Zähnen? Was ist möglich, was nicht?
Eine kurze Auswahl an verschiedenen Behandlungsfällen zum Durchklicken.
Fall 6
Kind Unterkieferrücklage Tiefbiss

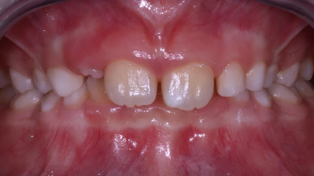
Situation vor der Behandlung
Patient 10 Jahre
Unterkiefer ist in Rücklage, dadurch besteht ein Tiefbiss.
Die Unterkieferfrontzähne sind von vorne nicht mehr sichtbar, sie sind von den oberen Schneidezähnen überdeckt.

Tiefbiss
Warum behandeln bei Tiefbiss?
Im Normalfall (Abb. 1) ist der Unterkieferfschneidezahn gut im Oberkieferschneidezahn abgestützt.
Beim Tiefbiss sind die Zähne nach innen gekippt, eine stabile Abstützung ist nicht mehr gegeben. (Abb. 2)
Mit zunehmenden Lebensalter kann sich der Tiefbiss verstärken, mit der Folge eines traumatischen Schleimhauteinbisses im Gaumen. (Abb. 3)

Art der Behandlung
abnehmbare Behandlung mit HerbstAlign
Funktionskieferorthopädische Behandlung der Unterkieferrücklage und des Tiefbisses
Behandlungszeit
12 Monate

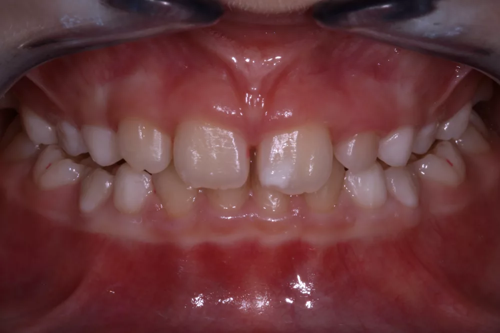
Zwischenergebnis nach Frühbehandlung
Unterkiefer ist in Normalposition
Lippenschluss wieder korrekt.
Herbstalign zur Retention (Stabilisierung) des Behandlungsergebnisses

Retention mit HerbstAlign
abnehmbare Behandlung mit Herbstalign
bis zum Durchbruch der bleibenden Zähne, dann Feineinstellung entweder festsitzend oder abnehmbar.
Behandlungszeit
12 Monate